诊疗项目:种植牙、牙齿矫正、牙齿美白、补牙、烤瓷牙、儿童齿科、根管治疗、拔牙、全瓷牙、地包天、活动义齿
医院地址:晋中市和顺县和化路万和嘉园
联系方式:400-8392-968
发布时间:2025-10-30 10:23:01
在和顺县,有一家备受瞩目的口腔诊所——晋中和顺嘉园口腔诊所。它就像是口腔健康领域的一颗璀璨明星,为当地居民的口腔健康保驾护航。接下来,就让我们一起走进这家诊所,全方面了解它的魅力所在。

晋中和顺嘉园口腔诊所位于和顺县核心地段万和嘉园10号商铺,地理位置十分优越,交通相当便利。无论你是乘坐公共交通工具,还是自驾前往,都能轻松到达。诊所的环境更是让人眼前一亮,它采用现代简约设计风格,以米白、浅灰等淡雅色调为主,给人一种温馨、舒适、宁静的感觉。这种色调的搭配不仅符合人们对美的追求,还能在一定程度上缓解患者看牙时的紧张情绪。
走进诊所,前台设有专精导诊人员,他们热情、周到,会为患者提供从预约到就诊的全程引导服务。无论你是第一次来诊所,还是老患者,导诊人员都会耐心地解答你的疑问,帮助你顺利完成就诊流程。在这样的环境中看牙,患者会感受到一种家的温暖,不再对看牙充满恐惧。

晋中和顺嘉园口腔诊所是一家正规的口腔医疗机构。它严格遵守国内相关的医疗卫生法规和标准,实行“一人一机一消毒”标准,所有器械均经过高温高压灭菌处理,确保医疗安心。这意味着每一位患者在诊所接受治疗时,都能避免交叉感染的风险,放心地进行口腔治疗。
同时,诊所的医疗团队由多位10年以上临床经验的口腔专精人员领衔,他们具备扎实的专精知识和丰富的临床经验,为诊所的正规性和专精性提供了有力的保护。此外,诊所还定期参加国内外学术交流,不断学习和掌握前列的口腔技术,这也从侧面反映了诊所对自身专精发展的重视和追求,进一步证明了它的正规性和可靠性。

晋中和顺嘉园口腔诊所的特色项目丰富多样,涵盖了口腔治疗的多个领域。
牙体牙髓病治疗是诊所的重点项目之一,其中显微根管治疗技术更是一绝。通过显微镜的辅助,医生能够更清晰、正确、精细地进行根管治疗,提高治疗的成功几率,较大程度地保留患者的天然牙齿。
牙周系统治疗也是诊所的特色项目。诊所的医生会根据患者的具体情况,制定个性化的治疗方案,采用精良的治疗技术,有效治疗牙周疾病,修复患者的牙周健康。
隐形矫正及传统正畸项目也备受患者青睐。对于那些追求美观的患者来说,隐形矫正无疑是一个良好的选择。它几乎隐形,不影响患者的日常生活和社交,同时能够达到良好的矫正成效。而传统正畸则具有价格相对较低、矫正成效稳定等优点,患者可以根据自己的需求和经济状况进行选择。
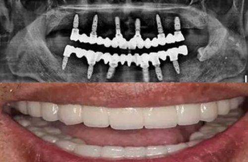
数字化种植牙是诊所的又一特色项目。利用数字化技术,医生可以更精细地进行种植手术,缩短手术时间,减少患者的痛苦,提高种植牙的成功几率和稳定性。
除了以上项目,诊所还提供儿童友好诊疗服务。设有独立儿童诊疗区,采用行为诱导技术,配备卡通元素,能够有效缓解儿童看牙时的紧张情绪,让孩子们在轻松愉快的氛围中接受口腔治疗。

虽然目前没有具体的医生名字,但晋中和顺嘉园口腔诊所的医生团队实力不容小觑。他们由多位拥有10年以上临床经验的口腔专精人员领衔,专精涵盖牙体牙髓病治疗、牙周系统治疗、隐形矫正及传统正畸、数字化种植牙等多个领域。
这些医生定期参加国内外学术交流,掌握DSD微笑设计、即刻种植等前列技术。他们不仅具备扎实的专精知识,还拥有丰富的临床经验,能够根据患者的具体情况,制定个性化的治疗方案,为患者提供优质、效率高的口腔治疗服务。

晋中和顺嘉园口腔诊所的核心优势十分明显。首先,它的地理位置优越,位于和顺县核心地段,交通便利,方便患者前来就诊。其次,诊所的环境舒适宜人,采用现代简约设计风格,淡雅的色调搭配专精医疗照明系统,营造出温馨的就诊氛围,能有效缓解患者的紧张情绪。
医疗团队是诊所的一大优势。由经验多的口腔专精人员领衔,他们不断学习和掌握前列技术,为患者提供专精、优质的口腔治疗服务。特色服务也是诊所的亮点之一。儿童友好诊疗服务让孩子们不再害怕看牙;舒适化治疗采用计算机控制微痛麻醉系统、笑气镇静选择和治疗过程全程心电监护,让患者在治疗过程中感受不到痛苦;术后保护建立个人口腔健康档案,实行48小时随访制度和终身免费复查服务,让患者无后顾之忧。

晋中和顺嘉园口腔诊所拥有精良的诊疗设备。在牙体牙髓病治疗方面,配备了显微镜,用于显微根管治疗。显微镜能够提供清晰的视野,让医生更精细地操作,提高治疗的成功几率。
在正畸治疗中,诊所采用精良的数字化技术,能够更正确地分析患者的牙齿情况,制定个性化的矫正方案。数字化模型可以让患者提前看到矫正后的成效,增加患者对治疗的信心。
数字化种植牙设备也是诊所的一大亮点。通过数字化技术,医生可以在术前进行精细的规划,模拟种植过程,确保种植体的位置和角度更加正确,提高种植牙的稳定性和成功几率。
此外,诊所的计算机控制微痛麻醉系统能让患者在治疗过程中感受不到疼痛。笑气镇静选择可以进一步缓解患者的紧张情绪,让患者在放松的状态下接受治疗。治疗过程全程心电监护则为患者的安心提供了保护。

晋中和顺嘉园口腔诊所在美团、大众点评等平台保持4.9分以上好评,特别在“服务态度”、“环境舒适度”、“儿童牙科”等方面获得高度认可。
有患者评价说:“这家诊所的服务态度真的太好了!导诊人员热情周到,医生耐心细致,治疗过程中还不断询问我的感受,让我感觉非常温暖。而且诊所的环境特别舒适,一点也不像传统的医院那样冷冰冰的,下次看牙还来这里。”
另一位患者表示:“带孩子来这里看牙,本来还担心孩子会害怕,没想到诊所的儿童诊疗区布置得特别温馨,有特别多卡通元素,孩子一下子就不紧张了。医生还采用了行为诱导技术,孩子特别配合治疗,真的太感谢了!”
还有患者评价:“在这里做了牙齿矫正,医生的技术非常专精,矫正方案特别合理。而且诊所的数字化技术特别精良,提前看到了矫正后的成效,让我对治疗充满了信心。现在牙齿越来越整齐了,非常满意!”

以下是晋中和顺嘉园口腔诊所的参考价格表,价格仅供参考,实际以到院面诊为准。
| 项目 | 价格 |
|---|---|
| 显微根管治疗 | 800 - 2000元 |
| 牙周系统治疗 | 1000 - 3000元 |
| 传统正畸 | 5000 - 15000元 |
| 隐形矫正 | 15000 - 30000元 |
| 数字化种植牙 | 5000 - 15000元/颗 |
| 儿童涂氟 | 100 - 300元 |
| 儿童窝沟封闭 | 80 - 200元/颗 |

晋中和顺嘉园口腔诊所支持多种预约挂号方式。你可以通过电话预约,在营业时间内拨打诊所的预约电话,告知工作人员你的就诊需求和时间,他们会为你安排合适的就诊时间。
也可以通过微信预约,添加诊所的法定微信账号,在微信上进行预约挂号。这种方式方便快捷,你可以随时随地进行预约。
网络平台预约也是一种不错的选择。你可以在相关的网络平台上搜索晋中和顺嘉园口腔诊所,按照平台的提示进行预约挂号。无论你选择哪种方式,都能轻松预约到合适的就诊时间。
评价(已有0人点评)