诊疗项目:种植牙、牙齿矫正、牙齿美白、补牙、烤瓷牙、儿童齿科、根管治疗、拔牙、全瓷牙、地包天、活动义齿
医院地址:山西省忻州市忻府区长征街道公园西街世纪花园南门东排10号店铺
联系方式:400-8392-968
发布时间:2025-10-24 14:51:02
在忻州,有这样一家备受瞩目的口腔专科医疗机构——忻州美益达口腔门诊部。它就像一颗守护市民口腔健康的璀璨之星,在当地口腔医疗领域绽放着独特的光芒。接下来,就让我们一起深入了解一下这家口腔门诊部吧。

忻州美益达口腔门诊部是一家经卫生部门正规审批成立的口腔专科医疗机构,拥有多年临床诊疗经验。它以“专精、舒适、安心”为服务理念,致力于为忻州市民提供高品质的口腔健康服务。在这里,患者能感受到专精的医疗技术与贴心服务的理想结合,仿佛进入了一个口腔健康的“守护城堡”。门诊部的环境温馨舒适,从进门的那一刻起,就能让患者放松紧张的心情。无论是宽敞明亮的候诊区,还是干净整洁的诊疗室,都处处体现着对患者的关怀。

答案是肯定的。忻州美益达口腔门诊部经过了卫生部门的正规审批,这意味着它具备合法合规开展口腔诊疗服务的资质。在医疗行业,正规审批是一道重要的门槛,只有满足了一系列严格的条件,包括场地、设备、人员资质等方面的要求,才能获得审批。美益达口腔门诊部严格遵守相关规定,从医疗设备的采购到医护人员的资质审核,都做到了严谨规范。所以,患者可以放心地在这里接受口腔诊疗服务。

忻州美益达口腔门诊部的特色项目丰富多样,涵盖了多个口腔诊疗领域。
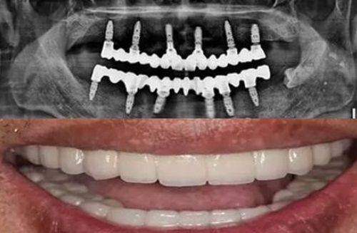
1. 种植牙中 心:引进国内外精良种植系统,配备数字化导板技术,实现精细微创种植。对于那些牙齿缺失的患者来说,种植牙是一种理想的修复方式。美益达口腔的种植牙中 心利用精良的技术,能够严谨地定位种植体的位置,减少手术创伤,缩短修复时间,让患者更快地修复咀嚼功能和美观。
2. 正畸专科:提供多种矫正方案,包括传统金属托槽矫正、半隐形陶瓷托槽矫正、隐形矫正(隐适美等)。不同的矫正方案适用于不同的牙齿畸形情况和患者需求。传统金属托槽矫正价格相对较为亲民,矫正成效显著;半隐形陶瓷托槽矫正则在美观度上有了一定提升;而隐形矫正(隐适美等)更是以其美观、舒适、可自行摘戴等优点,受到了特别多患者的青睐。
3. 儿童牙科:设立独立儿童诊疗区,开展乳牙护理、窝沟封闭、儿童早期矫治等项目。儿童的口腔健康需要特别关注,美益达口腔的儿童牙科为孩子们营造了一个温馨、有趣的诊疗环境,让他们不再害怕看牙。乳牙护理可以帮助孩子们保持口腔清洁,预防龋齿;窝沟封闭则是预防儿童磨牙龋齿的有效方法;儿童早期矫治能够及时纠正孩子的牙齿畸形问题,为他们的口腔健康打下良好的基础。
4. 牙周治疗:由专精牙周医师团队主诊,采用超声波洁治、龈下刮治、激光治疗等精良技术。牙周疾病是一种常见的口腔疾病,如果不及时治疗,会导致牙齿松动、脱落等重度后果。美益达口腔的牙周治疗团队凭借专精的技术和精良的设备,能够有效地治疗各种牙周疾病,保护患者的牙齿健康。
5. 美学修复:开展全瓷冠修复、瓷贴面、3M纳米树脂补牙等项目。美学修复不仅能够修复牙齿的缺损和损伤,还能改善牙齿的外观,让患者拥有更加自信的笑容。全瓷冠修复具有美观、耐用等优点;瓷贴面则可以在不损伤牙齿的前提下,快速改善牙齿的颜色和形状;3M纳米树脂补牙则能够与牙齿理想融合,修复牙齿的正常功能和美观。

美益达口腔汇聚了一支经验多的口腔医疗团队,其中有两位医生尤为出色。
张婧臻医生:擅长前牙美学修复、牙齿美白及根管治疗。在牙齿美学修复方面,张医生有着独特的审美和不错的技术,能够根据患者的面部特征和个人需求,设计出更适合的修复方案,让患者的牙齿焕发出自然、美丽的光彩。牙齿美白也是她的拿手项目,她能够采用安心、有效的方法,帮助患者去除牙齿表面的色斑和污渍,让牙齿变得洁白亮丽。而在根管治疗方面,张医生凭借丰富的临床经验和专精的技术,能够正确地诊断和治疗牙髓疾病,为患者解除痛苦。
任永先医生:专攻种植牙、牙周炎及复杂牙体治疗。在种植牙领域,任医生有着深厚的造诣,他熟练掌握各种种植牙技术,能够根据患者的口腔情况和身体状况,选择更合适的种植方案,确保种植成效的稳定性和持久性。对于牙周炎的治疗,任医生有着独特的见解和治疗方法,他能够采用综合治疗的手段,有效地控制牙周炎症,保护患者的牙齿和牙周组织。在复杂牙体治疗方面,任医生凭借不错的技术和丰富的经验,能够解决各种疑难的牙体问题,为患者保留更多的天然牙齿。

门诊部配备了一系列精良的诊疗设备,为口腔诊疗提供了有力的支持。
进口牙科综合治疗台:这种治疗台具有多种功能,能够为患者提供舒适的诊疗体验。它可以根据患者的需求进行调整,让患者在治疗过程中保持舒适的姿势。同时,治疗台上还配备了精良的照明系统和操作器械,方便医生进行精细的治疗操作。
数字化影像系统:能够快速、正确地获取患者口腔的影像信息,为医生的诊断和治疗提供重要依据。数字化影像系统具有图像清晰、分辨率高、辐射剂量低等优点,能够帮助医生更正确地发现患者口腔内的问题,制定出更加科学、合理的治疗方案。
严格消毒灭菌设备:美益达口腔门诊部非常重视医疗安心,配备了严格的消毒灭菌设备,确保所有的诊疗器械都经过严格的消毒处理,避免交叉感染。消毒灭菌设备采用精良的技术和工艺,能够有效地杀灭各种细菌和病毒,保护患者的健康安心。
独立诊室设计:为患者提供了一个私密、安静的诊疗环境。独立诊室能够保护患者的隐私,让患者在治疗过程中更加放松。同时,独立诊室还能够减少外界干扰,让医生更加专注地为患者进行治疗。

1. “我在忻州美益达口腔门诊部做了种植牙手术,整个过程非常顺利。医生的技术特别不错,手术过程中几乎没有什么疼痛感。术后修复也特别快,现在我的牙齿已经完全修复正常了,咀嚼功能也良好。这里的服务也特别贴心,医护人员都特别热情,让我感受到了家一般的温暖。”
2. “我家孩子在美益达口腔的儿童牙科做了窝沟封闭和乳牙护理。孩子一开始特别害怕看牙,但是这里的儿童诊疗区布置得非常温馨、有趣,孩子特别快就放松了下来。医生和护士都特别有耐心,对孩子非常好。现在孩子再也不害怕看牙了,而且牙齿也变得更健康了。”
3. “我之前牙齿有点不齐,一直想做矫正。在忻州美益达口腔门诊部询问后,医生根据我的情况为我推荐了隐形矫正方案。隐形矫正真的特别方便,不影响美观,而且可以自行摘戴,对我的日常生活没有什么影响。现在我的牙齿已经矫正得差不多了,成效非常满意。这里的医生和护士都特别专精,会定期跟进我的矫正情况,给我提供特别多有用的建议。”

| 项目 | 价格 |
|---|---|
| 传统金属托槽矫正 | 5000 - 8000元(价格仅供参考,实际以到院面诊为准) |
| 半隐形陶瓷托槽矫正 | 8000 - 12000元(价格仅供参考,实际以到院面诊为准) |
| 隐形矫正(隐适美等) | 20000 - 40000元(价格仅供参考,实际以到院面诊为准) |
| 种植牙 | 5000 - 15000元/颗(价格仅供参考,实际以到院面诊为准) |
| 全瓷冠修复 | 1500 - 3000元/颗(价格仅供参考,实际以到院面诊为准) |
| 瓷贴面 | 2000 - 4000元/颗(价格仅供参考,实际以到院面诊为准) |
| 3M纳米树脂补牙 | 200 - 500元/颗(价格仅供参考,实际以到院面诊为准) |
| 超声波洁治 | 100 - 300元(价格仅供参考,实际以到院面诊为准) |
| 龈下刮治 | 500 - 1000元(价格仅供参考,实际以到院面诊为准) |
| 窝沟封闭 | 80 - 200元/颗(价格仅供参考,实际以到院面诊为准) |

患者可以通过以下几种方式进行预约挂号:
1. 电话预约:可以拨打忻州美益达口腔门诊部的询问电话,向工作人员说明自己的需求和预约时间,工作人员会为您安排合适的医生和就诊时间。
2. 现场预约:患者可以直接前往忻州美益达口腔门诊部的前台,向工作人员提出预约挂号的申请,工作人员会为您办理相关手续。
3. 线上预约:门诊部可能也提供线上预约服务,患者可以通过门诊部的法定网站或相关的医疗服务平台进行预约挂号。线上预约方便快捷,患者可以随时随地进行操作。
总之,忻州美益达口腔门诊部以其专精的医疗技术、精良的诊疗设备、贴心的服务和良好的口碑,成为了忻州市民口腔健康的理想选择。如果您有口腔方面的问题,不妨来这里体验一下。
评价(已有0人点评)