诊疗项目:种植牙、牙齿矫正、牙齿美白、补牙、烤瓷牙、儿童齿科、根管治疗、拔牙、全瓷牙、地包天、活动义齿
医院地址:唐山市遵化华富西街145号
联系方式:400-8392-968
发布时间:2025-10-17 12:51:03
在唐山遵化,有一家备受瞩目的口腔门诊部——唐山遵化CC口腔门诊部。它宛如一颗璀璨的明珠,在当地的口腔医疗领域散发着独特的魅力,为众多口腔患者带来了健康与希望。接下来,就让我们一同深入了解这家口腔门诊部的方方面面。

唐山遵化CC口腔门诊部是一家集口腔医疗、预防、保健为一体的综合性口腔医疗机构。门诊部环境优雅舒适,装修温馨宜人,从踏入大门的那一刻起,就能感受到一种专精与亲切的氛围。这里的医护人员热情周到,会为每一位患者提供贴心的服务,让患者在轻松愉悦的心情中接受治疗。
门诊部拥有宽敞明亮的候诊区,配备了舒适的沙发和丰富的报刊杂志,让患者在等待的过程中不会感到无聊。诊疗区域干净整洁,严格遵循卫生标准,为患者提供了一个安心可靠的治疗环境。此外,门诊部还注重患者的隐私保护,每个诊疗室都采用了独立的设计,让患者能够安心地接受治疗。

唐山遵化CC口腔门诊部是一家正规的口腔医疗机构。它经过了相关部门的严格审批和监管,拥有合法的执业许可证。门诊部的医护人员都具备专精的资质和丰富的临床经验,他们严格遵守医疗行业的规范和标准,为患者提供高质量的口腔医疗服务。
在诊疗过程中,门诊部采用精良的医疗技术和设备,确保治疗的正确性和安心性。同时,门诊部还建立了完善的医疗质量管理体系,对每一个治疗环节都进行严格的监控和评估,以确保患者能够得到至佳的治疗成效。

牙齿矫正:门诊部引进了多种精良的牙齿矫正技术,如传统金属托槽矫正、陶瓷托槽矫正、隐形矫正等。医生会根据患者的牙齿情况和个人需求,为患者制定个性化的矫正方案,帮助患者拥有整齐美观的牙齿。
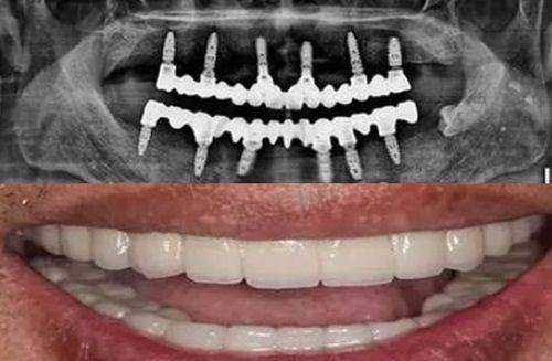
种植牙:对于缺失牙齿的患者,门诊部提供种植牙服务。采用国内外精良的种植系统,由经验多的医生进行操作,确保种植成效的稳定性和美观性。种植牙不仅能够修复牙齿的功能,还能提升患者的面部美观度。
牙齿美白:针对牙齿发黄、发黑等问题,门诊部开展了牙齿美白项目。采用安心有效的美白技术,能够快速去除牙齿表面的污渍和色斑,让牙齿变得洁白亮丽。
口腔综合治疗:包括补牙、拔牙、根管治疗、牙周治疗等。医生会根据患者的具体情况,进行全方面的口腔检查和诊断,然后制定合理的治疗方案,为患者解决各种口腔问题。

由于目前暂未获取到该门诊部具体医生的详细信息,但可以想象,这里的医生们一定都是经过严格选拔和专精培训的。他们在口腔医学的各个领域都有着丰富的经验和不错的技术,能够为患者提供全方面、个性化的口腔医疗服务。
相信每一位医生都秉持着“以患者为中 心”的服务理念,用自己的专精知识和爱心,为患者解决口腔问题,让患者重拾自信的笑容。

数字化口腔全景机:这是一种精良的口腔影像设备,能够快速、正确地拍摄口腔全景图像。通过全景机拍摄的图像,医生可以清晰地了解患者牙齿、牙槽骨等口腔结构的情况,为诊断和治疗提供重要的依据。其优势在于成像速度快、图像清晰,能够减少患者的拍摄时间和辐射剂量。
口腔CBCT:与传统的X光片相比,口腔CBCT能够提供三维立体的口腔影像。它可以严谨地显示牙齿的内部结构、牙槽骨的密度和形态等信息,对于种植牙、正畸等复杂的口腔治疗具有重要的指导意义。医生可以通过CBCT制定更加精细的治疗方案,提高治疗的成功几率。
激光治疗仪:在口腔治疗中,激光治疗仪具有独特的优势。它可以用于牙齿美白、牙周治疗、口腔黏膜疾病治疗等多个方面。激光治疗具有创伤小、出血少、疼痛轻、修复快等优点,能够为患者带来更好的治疗体验。
超声洁牙机:这是一种常用的口腔清洁设备,通过超声波的高频振动,能够有效地去除牙齿表面的牙结石、菌斑和色素。超声洁牙机操作简单、安心,不会对牙齿造成损伤,是保持口腔健康的重要手段之一。

患者A:“我之前牙齿特别黄,一直想美白。朋友推荐我来唐山遵化CC口腔门诊部,抱着试试看的心态来了。这里的医生特别专精,给我详细介绍了牙齿美白的方法和注意事项。治疗过程中也没有什么不适感,做完之后牙齿明显变白了,成效真的太棒了!而且医护人员的服务也特别周到,以后看牙就认准这家了。”
患者B:“我有一颗牙齿坏了,需要做根管治疗。听别人说根管治疗特别疼,我心里特别害怕。来到这家门诊部后,医生耐心地安慰我,给我讲解治疗的过程。治疗过程中,医生的操作非常轻柔,几乎没有什么疼痛感。现在治疗已经结束了,牙齿也不疼了,真的特别感谢这里的医生。”
患者C:“我一直想矫正牙齿,但是担心矫正过程会影响美观。在唐山遵化CC口腔门诊部,医生给我推荐了隐形矫正。戴上隐形牙套后几乎看不出来,而且摘戴特别方便,不影响日常生活。现在我的牙齿已经慢慢变整齐了,真的特别满意这次的矫正成效。”

| 项目 | 价格(仅供参考,实际以到院面诊为准) |
|---|---|
| 传统金属托槽矫正 | 8000 - 15000元 |
| 陶瓷托槽矫正 | 12000 - 20000元 |
| 隐形矫正 | 20000 - 50000元 |
| 种植牙(单颗) | 5000 - 20000元 |
| 牙齿美白 | 1000 - 3000元 |
| 补牙(树脂材料) | 200 - 500元/颗 |
| 拔牙(普通牙齿) | 100 - 300元/颗 |
| 根管治疗(单根牙) | 500 - 1500元/颗 |
| 牙周治疗 | 1000 - 3000元 |

患者可以通过以下几种方式进行预约挂号:
电话预约:患者可以拨打门诊部的预约电话,告知工作人员自己的基本信息和预约时间,工作人员会为患者安排合适的医生和就诊时间。
线上预约:门诊部可能提供法定网站或微信公众号等线上预约渠道。患者可以登录相关平台,按照提示进行预约挂号操作。线上预约方便快捷,患者可以随时随地进行预约。
现场预约:患者也可以直接前往门诊部的前台,向工作人员说明自己的需求,进行现场预约挂号。现场预约可以让患者与工作人员进行面对面的沟通,及时了解门诊部的相关信息。
评价(已有0人点评)