在深圳这个医疗资源丰富、牙科诊所遍地开花的城市,许多朋友都会在选择口腔医院时犹豫不决。尤其是当你在网上搜索“深圳正夫口腔是正规的吗?”时,看到有人说好,有人怀疑是不是“黑店”,内心更是五味杂陈。别急,今天咱们就从多个角度深入聊聊这家连锁大品牌——深圳正夫口腔,看它到底靠不靠谱。

深圳正夫口腔正规吗?从资质上讲就是有“身份证”的医院
咱们看一家医院正规不正规,第一步就是得看它有没有“身份证”,也就是医疗执业许可证。不过你不用担心,深圳正夫口腔可不是没牌子的“野机构”。它是经过深圳市卫生健康委员会审批通过的正规医疗机构,并且每家分院都持有合法的执业许可证。
更亮眼的是正夫口腔背后的资本实力。它母公司注册资金高达一亿元国币,在工商数据库可查,是妥妥的正规医疗企业。机构还拥有多个注册商标和软件著作权,靠知识产权撑起专精壁垒。这种资质背景也为它在深圳的迅猛发展提供了强大支持。

深圳正夫口腔医生团队强不强?海归+国内医生联合坐镇
除了资质靠谱,医生是否专精也关系着不少患者的信任度。正夫口腔在这方面可以说投入不少,它的医疗团队不仅有毕业于国内重点医 科 大学的骨干医生,还有从韩国、英国、香港等地留学回来的牙科医学博士常驻坐诊。
这些医生的共同特点就是临床经验超丰富,年种植牙、正畸量可观,而且注重与患者的沟通。无论是为儿童看乳牙问题、年轻人做牙齿矫正,还是中老年人做种植牙方案评估,医生都能给到细致、个性化的方案。甚至还有部分门诊安排VIP私密询问室,让看诊更安心。

深圳正夫口腔设备如何?数字化诊疗配齐,效率与舒适并存
这一点对经常跑医院的牙友太重要了。没人喜欢在设备老旧、环境混乱的门诊就诊,而正夫口腔的硬件配置算得上“高配良心”。它全方面引进国内外标准的数字化牙科设备,包括口腔CBCT、3D扫描仪、进口灯光冷光美白设备、牙科显微镜等。
这种设备带来的好处是显而易见的:比如拍片全程微痛自动化,数据同步医生终端,能够精细分析牙根、牙槽骨情况,不管是种植牙还是正畸,对成效把控更严、成功几率更高。此外,全程采取“一人一用一消毒”的规范流程,也让治疗环境更卫生、更放心。

正夫口腔收费贵吗?价格透明可医疗保险报销,性价比不输公办
特别多人担心私立医院会“乱收费”,这点在正夫口腔基本可以放心。总体来看,它采用的是统一透明定价模式,并在各分院进行公开公示,像洁牙、补牙、拔牙等标准项目,门口明码标价,有的价格还低至几十元。
举个栗子吧:
3M树脂补牙价格约88-138元/颗起,超声波洁牙68元起,智齿拔除399元起;
种植牙方面,进口韩国登腾种植体起步价仅3000元出头,高端诺贝尔种植也大大低于三等甲医院私人价位。
更关键的是,部分门店还是医疗保险定点单位,可以使用医疗保险卡刷卡结算,大大缓解经济压力。不少患者都表示“价格透明,看牙没套路”。

正夫口腔的门店到底有多少?不夸张,出门就能撞见一家
别的不说,正夫口腔在深圳的门诊覆盖面完全地让人震惊——至今已开设30+家分店,几乎每个大型地铁口或社区商圈都有分布。从罗湖、福田、南山、宝安、龙华,到龙岗,每个区域都至少布点一家,大大方便市民就近就诊。
而且每家门诊的装修风格也各有特色,以舒适现代风为主,候诊区配有茶水、自助机、休息厅等设施,真正做到看牙像进了SPA馆。分诊护士会主动协助安排拍片和等候,也有儿童就诊专区,妈妈们带娃也特别省心。

深圳正夫口腔口碑如何?真实患者反馈持续走高
咱们说一千道一万,用户的体验更有发言权。从公开平台上的评价来看,深圳正夫口腔大部分院区的评分都在4.5分以上,部分旗舰店如华强北、南山、龙华门诊甚至能达到4.8分。
不少患者反馈说:医生耐心细致,解说清楚,看牙没有复杂推销;护士小姐姐态度超温柔,把每个步骤都告知得挺详细。
一位种植牙用户留言:“当天拍片、当天评估、当天种牙!效率真不是一般的快,而且也没额外收费,质保还给发票。”在口腔医疗容易被“忽悠消费”的环境下,这样的体验真实又值得点赞。

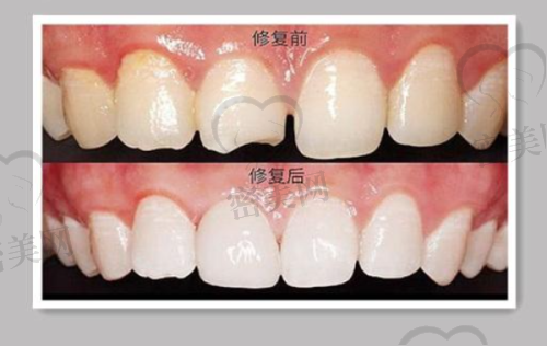
深圳正夫口腔有无特色项目?牙齿矫正+种植双强项
正夫口腔在种植牙和牙齿矫正方面非常有话语权,尤其擅长中重度牙列不齐、骨量不足下复杂种植修复等难题。无论是选择经济实用的金属托槽,还是注重美观的隐形矫正(像时代天使、正雅、隐适美),医院都能给出精细模型建模和矫治方案。
在种植领域,不止有基础单颗种植,还提供All-on-4/All-on-6半口全口即刻负重修复,适用于多数牙缺失者;而部分患者想快速拥有过渡美观,医院还能同步安排临时牙冠,节省复诊时间,特别方便上班族。

教育科研荣誉加持,医疗体系比你想象的还专精
也许你不知道,深圳正夫口腔不仅仅止步于连锁门诊,还逐步向口腔教学与科研同步发展。它参与多项牙科技术课题合作,与口腔材料公司有共同研发计划,并积极推进数字化口腔技术在国内落地应用。
正因如此,一些在校牙科学生也会选择在正夫门店实习,对外发布的实例报告用作教材参考。如此全方面发展的口腔品牌,实力和口碑自然不差。

能不能在线预约?服务贴心细节做到极致
怕排队、怕没时间?这些也不用操心。深圳正夫口腔支持官网或者小程序在线预约,部分分院还能通过微信小程序预约,甚至可以提前下载电子片子,方便做第二次诊疗方案比对。
临床前有专精导诊询问服务,一对一沟通病史资料,治疗中医生全程讲解进程,术后还有回访提醒服务。小到牙套佩戴注意事项、洗牙间隔周期,大到种植质保周期,医院统统都不会马虎。
总的来说,深圳正夫口腔用真实的资质、突出的医生阵容、精良的设备配置、靠谱的价格系统以及良好的用户体验,让我们对“正规牙科”有了不一样的定义。